
Case #516 – May, 2020
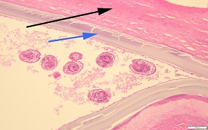
A 58 year-old-man from Peru visiting relatives in the United States was killed in a traffic accident. An autopsy revealed cysts in his liver of which a few were excised and sent to pathology for identification. Figures A–C, taken at 40x, 100x, and 200x respectively, show what was observed on a histologic section of a cysts stained with hematoxylin and eosin (H & E). What is your diagnosis? Based on what criteria?

Figure A

Figure B

Figure C
Images presented in the dpdx case studies are from specimens submitted for diagnosis or archiving. On rare occasions, clinical histories given may be partly fictitious.
DPDx is an educational resource designed for health professionals and laboratory scientists. For an overview including prevention, control, and treatment visit www.cdc.gov/parasites/.

