
Case #511 – March, 2020
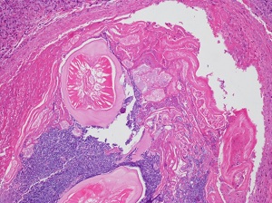
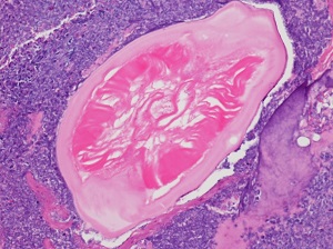
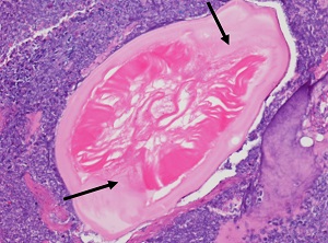
A 60-year-old non-smoking male patient presented to his primary care physician with a chronic cough and shortness of breath. He reported no recent travel outside of the Southern United States. A CT scan revealed focal consolidation and cavitation. Later, a lung biopsy was performed on a lesion that revealed possible parasitic forms on histopathological examination. Images A—C show the objects of interest in the hematoxylin and eosin (H&E) stained slides; the size of each object was approximately 200 µm in diameter. What is your diagnosis? Based on what criteria?
Case and images courtesy of Presbyterian Hospital of Dallas

Figure A

Figure B

Figure C
Images presented in the dpdx case studies are from specimens submitted for diagnosis or archiving. On rare occasions, clinical histories given may be partly fictitious.
DPDx is an educational resource designed for health professionals and laboratory scientists. For an overview including prevention, control, and treatment visit www.cdc.gov/parasites/.
