
Case #501 – October, 2019
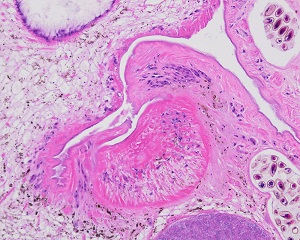
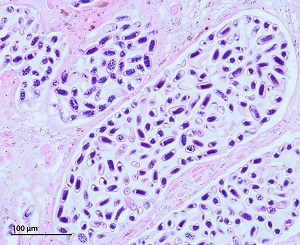
A 72-year-old woman originally from China presented to a clinic with complaints of abdominal pain, nausea, vomiting, and diarrhea over one week. She also reported that she experienced bouts of abdominal discomfort over the past year. Endoscopic retrograde cholangiopancreatography (ERCP) was performed, which demonstrated a live parasite in the common bile duct. The parasite was removed, embedded in paraffin, sectioned, and stained with hematoxylin and eosin (H&E). Shown below are images of the sectioned organism (Figure A is taken at 20x magnification; Figure B is taken at 200x magnification; scale bars are provided on Figures C and D).
What is your diagnosis? Based on what features?
This case was kindly contributed by the California Pacific Medical Center.

Figure A

Figure B

Figure C

Figure D
Images presented in the dpdx case studies are from specimens submitted for diagnosis or archiving. On rare occasions, clinical histories given may be partly fictitious.
DPDx is an educational resource designed for health professionals and laboratory scientists. For an overview including prevention, control, and treatment visit www.cdc.gov/parasites/.
