
Case #499 – September, 2019
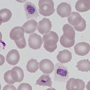
A 5-year-old child was taken to a children’s hospital with presumed febrile illness (symptoms and travel history were not provided). A blood smear was made and stained with what appeared to be Wright-Giemsa. The stained slides were sent to the State Public Health Lab which submitted images to CDC/DPDx for diagnostic assistance (Figures A–H). What is your diagnosis? Based on what criteria?
The images of this case were kindly provided by the Pennsylvania Department of Health; the exact age of the patient has been edited for the purpose of this case.

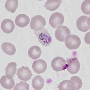
Figure A

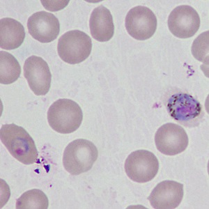
Figure B

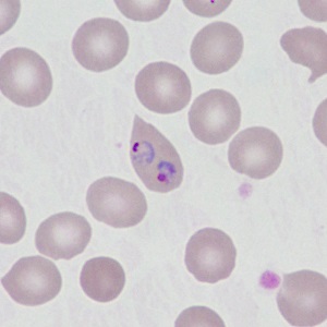
Figure C

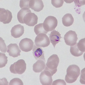
Figure D

Figure E

Figure F

Figure G

Figure H
Images presented in the dpdx case studies are from specimens submitted for diagnosis or archiving. On rare occasions, clinical histories given may be partly fictitious.
DPDx is an educational resource designed for health professionals and laboratory scientists. For an overview including prevention, control, and treatment visit www.cdc.gov/parasites/.