
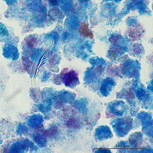
Case #467 – May, 2018
A 19-year-old female from Northern Manitoba, with no travel history outside of Canada and a significant history of hunting wild animals and exposure to wild canines, recently presented to a local hospital for right upper quadrant (RUQ) pain. She was later transferred to a tertiary care facility after a liver resection procedure for RUQ pain, elevated liver enzymes and white blood cell count, and a few peaks in her absolute eosinophil count; she also had pleural effusion. A 5 cm liver cyst was seen on an ultrasound scan (US) and magnetic resonance imaging (MRI). Cyst fluid was sent to the provincial public health laboratory for analysis. Figures A–C show what was observed on a wet prep with iodine made from the fluid. Figure D is from a smear of the fluid stained with Giemsa; Figure E stained with iron-hematoxylin. What is your diagnosis? Based on what criteria?
(This case and images were kindly provided by the Cadham Provincial Public Health Laboratory, Winnipeg, MB)

Figure A

Figure B

Figure C

Figure D

Figure E
Images presented in the dpdx case studies are from specimens submitted for diagnosis or archiving. On rare occasions, clinical histories given may be partly fictitious.
DPDx is an educational resource designed for health professionals and laboratory scientists. For an overview including prevention, control, and treatment visit www.cdc.gov/parasites/.