
Case #464 – March, 2018
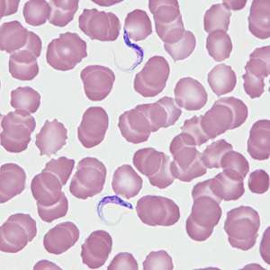
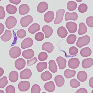
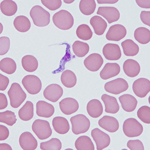
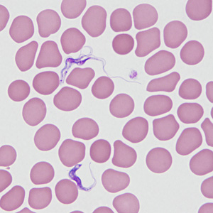
A 45-year-old man from Paraguay went on a safari in eastern Zambia. He reported multiple insect bites at one location and noticed that some bites had developed into sores while still in country. One week after returning, he developed fever, headache, and enlarged lymph nodes and sought medical attention. A rapid test for malaria was negative but a blood smear was still ordered and stained with Wright-Giemsa. Figures A– D show what was observed on the blood smear at 1000x oil. What is your diagnosis? Based on what criteria?

Figure A

Figure B

Figure C

Figure D
Images presented in the dpdx case studies are from specimens submitted for diagnosis or archiving. On rare occasions, clinical histories given may be partly fictitious.
DPDx is an educational resource designed for health professionals and laboratory scientists. For an overview including prevention, control, and treatment visit www.cdc.gov/parasites/.