
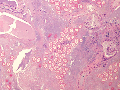
Case #442 – April, 2017
A 6-year-old child from a community in rural southeastern United States presented with severe upper right abdominal pain, fever, chills, decreased appetite and weight loss. The child expired 2 weeks after being admitted for symptoms that included hepatitis. At autopsy, a liver biopsy was obtained and processed. Figures A and B show what was observed on a hematoxylin and eosin (H & E) stained liver tissue section at 100x and 500x oil magnification respectively. What is your diagnosis? Based on what criteria?

Figure A

Figure B
Images presented in the dpdx case studies are from specimens submitted for diagnosis or archiving. On rare occasions, clinical histories given may be partly fictitious.
DPDx is an educational resource designed for health professionals and laboratory scientists. For an overview including prevention, control, and treatment visit www.cdc.gov/parasites/.