
Case #431 – November, 2016
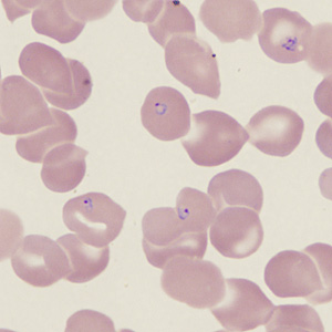
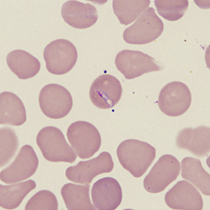
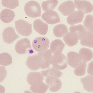
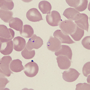
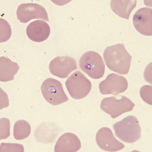
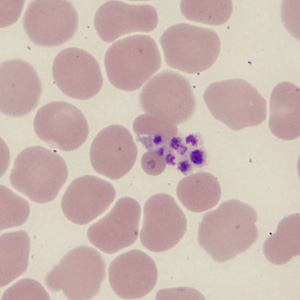
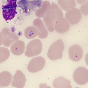
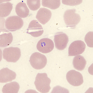
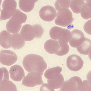
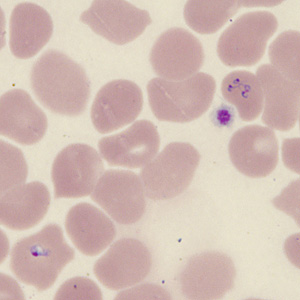
A 62-year-old man from Kenya had been living in rural Connecticut with relatives for 6 months when he developed fever, chills, and fatigue. The family took him to their health care provider for medical attention. Blood work-up revealed anemia and blood smears were prepared, stained, and examined. Figures A–I show what was found on thin smears. What is your diagnosis? Based on what criteria?

Figure A

Figure B

Figure C

Figure D

Figure E

Figure F

Figure G

Figure H

Figure I

Figure J
Images presented in the dpdx case studies are from specimens submitted for diagnosis or archiving. On rare occasions, clinical histories given may be partly fictitious.
DPDx is an educational resource designed for health professionals and laboratory scientists. For an overview including prevention, control, and treatment visit www.cdc.gov/parasites/.