
Case #418 – April 2016
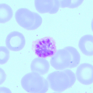
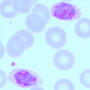
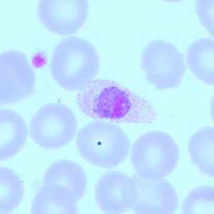
A 34-year-old-woman sought medical assistance at a facility in New Zealand for rigors, fever, and headache. She had been diagnosed with malaria (species not determined) in 2012 in Mozambique and was treated with artesunate. It was unknown if she had traveled since. Blood smears were ordered, stained with Giemsa, and examined at 1000x magnification with oil at a pathology laboratory. Images were captured from a stained thin smear and sent to the DPDx Team for identification. Figures A-E show what was observed in some of the images submitted. What is your diagnosis? Based on what criteria?

Figure A

Figure B

Figure C

Figure D

Figure E
This case and images were kindly provided by Pathlab, Waikato, New Zealand.
DPDx is an educational resource designed for health professionals and laboratory scientists. For an overview including prevention, control, and treatment visit www.cdc.gov/parasites/.