
Case #414 – February 2016
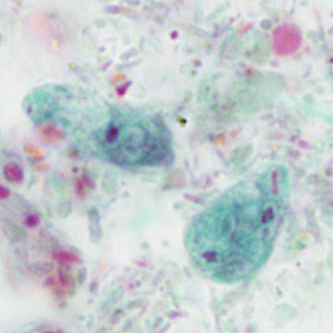
A 7-year-old boy was presented to his health care provider with symptoms of intermittent diarrhea, abdominal pain and loss of appetite. A stool specimen was collected in 10% formalin and zinc PVA (Zn-PVA) for routine ova-and-parasite (O&P) examination. Figures A–F show what was observed at 1000x magnification with oil on a trichrome-stained smear made from stool preserved in the Zn-PVA. The objects of interest measured 7-13 µm. Figures A and B show the same object at different focal planes. What is your diagnosis? Based on what criteria?

Figure A

Figure B

Figure C

Figure D

Figure E

Figure F
DPDx is an educational resource designed for health professionals and laboratory scientists. For an overview including prevention, control, and treatment visit www.cdc.gov/parasites/.