
Case #407 – November 2015
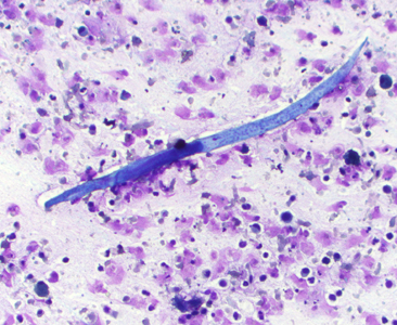
A 50-year-old male originally from Southeast Asia was undergoing chemotherapy for squamous cell carcinoma of the lung. He was admitted one week prior with nausea, vomiting, and confusion. Pulmonary infiltrates were observed on a chest radiograph and bronchial alveolar lavage (BAL) specimens were collected for routine microbiological work-up. The following images show what was observed by the attending pathologist. Figures A and B were stained with Giemsa; Figures C and D with Papanicolaou. The objects of interest measured 500-600 micrometers in length. What is your diagnosis? Based on what criteria?

Figure A

Figure B

Figure C

Figure D
This case and images were kindly provided by Mercy Medical Center, Des Moines, IA
DPDx is an educational resource designed for health professionals and laboratory scientists. For an overview including prevention, control, and treatment visit www.cdc.gov/parasites/.


