
Case #387 – January 2015
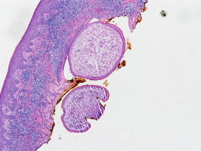
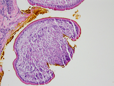
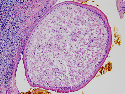
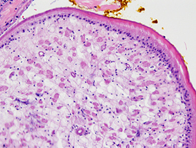
A 71-year-old female presented to her health care provider with a nodule on her back. The nodule was removed and sent to Pathology for histological work-up. Tissue was sectioned, stained with hematoxylin-and-eosin (H & E) and examined by the attending pathologist and in turn forwarded to the CDC-DPDx for diagnostic assistance. A brief pathology report indicated a possible helminth infection. Figure A was taken at 100x, Figures B and C at 200x, and Figure D at 400x magnification. What is your diagnosis? Based on what criteria?

Figure A

Figure B

Figure C

Figure D
Images presented in the monthly case studies are from specimens submitted for diagnosis or archiving. On rare occasions, clinical histories given may be partly fictitious.
DPDx is an educational resource designed for health professionals and laboratory scientists. For an overview including prevention, control, and treatment visit www.cdc.gov/parasites/.