
Case #372 – May 2014
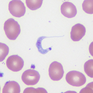
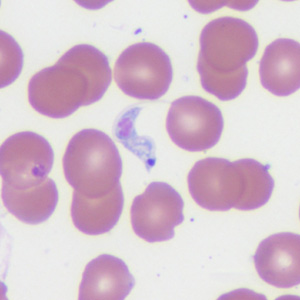
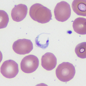
A 45-year-old patient originally from Mexico presented with a left groin lymphocele, erythema, swelling in his lower extremities, and fever and chills approximately one month after receiving a heart transplant. An endomycardial biopsy was performed and blood specimens were collected in EDTA and sent to Hematology for work-up. Objects of interest were observed by the attending pathologist on a thin blood film stained with Wright stain. Images were captured and sent to the DPDx Team for diagnostic assistance. Figures A–D show four of the images submitted. What is your diagnosis? Based on what criteria?

Figure A

Figure B

Figure C

Figure D
This case and images were kindly provided by Aurora St. Luke’s Medical Center, Milwaukee, WI.
Images presented in the DPDx case studies are from specimens submitted for diagnosis or archiving. On rare occasions, clinical histories given may be partly fictitious.
DPDx is an educational resource designed for health professionals and laboratory scientists. For an overview including prevention, control, and treatment visit www.cdc.gov/parasites/.