
Case #368 – March 2014
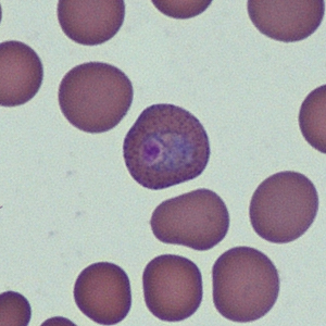
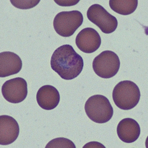
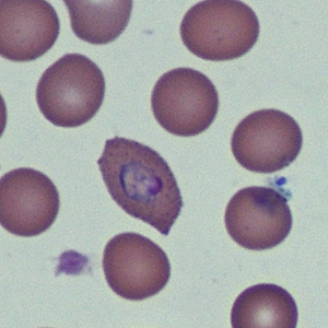
An eight-year-old child presented to a hospital with intermittent fevers. He had recently returned from a trip to Kenya and had not taken anti-malarial prophylaxis while traveling. Blood was collected in EDTA and sent for hematologic work-up. A BinaxNOW malarial antigen test was performed and the result was negative. Thin smears were also made and stained with Wright-Giemsa. The attending technologist who read the smears took digital images of her findings and sent them to the DPDx Team for a telediagnosis consult. Figures A–D show four of the images received for analysis. What is your diagnosis? Based on what criteria?

Figure A

Figure B

Figure C

Figure D
This case and images were kindly provided by the University of Washington Medical Center, Seattle, WA.
Images presented in the DPDx case studies are from specimens submitted for diagnosis or archiving. On rare occasions, clinical histories given may be partly fictitious.
DPDx is an educational resource designed for health professionals and laboratory scientists. For an overview including prevention, control, and treatment visit www.cdc.gov/parasites/.