
Case #360 – November 2013
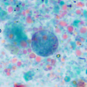
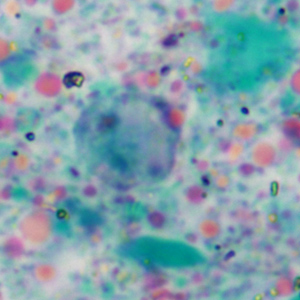
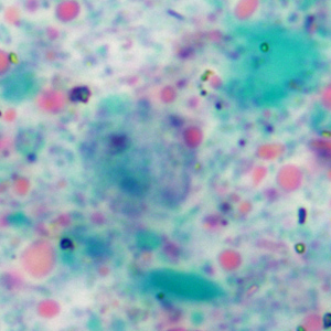
A county health department in Kansas routinely collects stool specimens as part of their refugee screening program. Stool is collected in 10% formalin and zinc-PVA (Zn-PVA) and forwarded to the state health laboratory for ova-and-parasite (O&P) examination. Images of any suspicious objects and organisms are captured and sent to the DPDx Team whenever there is a need for confirmatory diagnosis. Figures A–D show three such objects observed on a trichrome-stained slide of stool preserved in Zn-PVA. A scale bar was included in Figure B to show the average size of the objects. The objects in Figures C and D represent the same structure in two different focal planes. What is your diagnosis? Based on what criteria?

Figure A

Figure B

Figure C

Figure D
This case and images were kindly provided by the Kansas Health and Environment Laboratory, Topeka, KS.
Images presented in the DPDx case studies are from specimens submitted for diagnosis or archiving. On rare occasions, clinical histories given may be partly fictitious.
DPDx is an educational resource designed for health professionals and laboratory scientists. For an overview including prevention, control, and treatment visit www.cdc.gov/parasites/.