
Case #359 – November, 2013
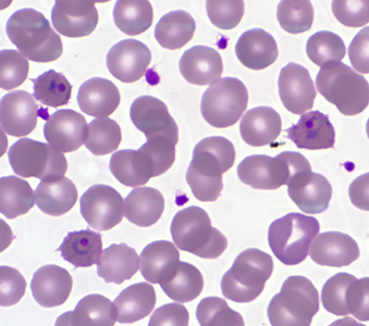
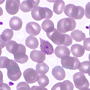
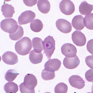
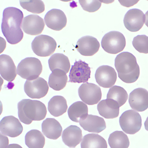
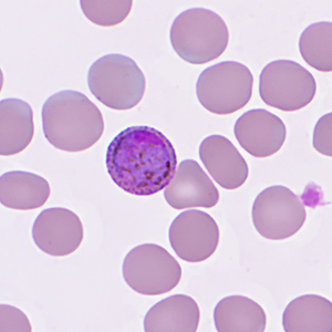
A 19-year-old female presented to the emergency room with fever, chills, and nausea on a 48-hour cycle. She had travel history to the Bahamas and Tanzania, but has not been abroad for nearly nine months. The patient reported that she was diagnosed with Plasmodium falciparum malaria five months prior to the current symptoms and treated accordingly. Blood films were prepared, stained with Wright-Giemsa, and examined by the attending pathologist. Images were captured and sent to the DPDx Team for diagnostic assistance. Figures A–F were among the images sent. What is your diagnosis? Based on what criteria?

Figure A

Figure B

Figure C

Figure D

Figiure E

Figure F
This case and images were kindly provided by the University of Iowa Hospitals and Clinics, Iowa City, IA.
Images presented in the DPDx case studies are from specimens submitted for diagnosis or archiving. On rare occasions, clinical histories given may be partly fictitious.
DPDx is an educational resource designed for health professionals and laboratory scientists. For an overview including prevention, control, and treatment visit www.cdc.gov/parasites/.