
Case #354 – August, 2013
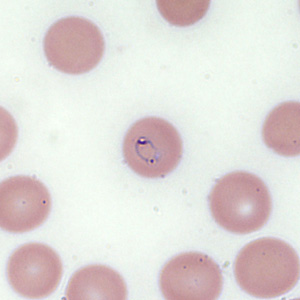
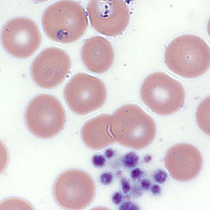
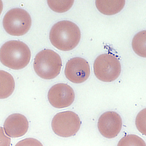
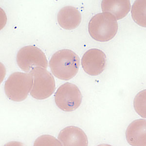
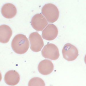
A 54-year-old male from Pennsylvania presented to his health provider with fever, chills, malaise, and loss of appetite. The patient was originally from Mexico but has been living in the eastern U.S. for the past several months. A blood smear was prepared and stained with Wright’s stain. Images were captured at 1000x magnification and sent to the DPDx team for diagnostic assistance (Figures A–F). What is your diagnosis? Based on what criteria? What other tests, if any, would you recommend?

Figure A

Figure B

Figure C

Figure D

Figure E

Figure F
This case and images were kindly provided by the Pennsylvania Department of Health, Bureau of Laboratories, Exton, PA.
Images presented in the DPDx case studies are from specimens submitted for diagnosis or archiving. On rare occasions, clinical histories given may be partly fictitious.
DPDx is an educational resource designed for health professionals and laboratory scientists. For an overview including prevention, control, and treatment visit www.cdc.gov/parasites/.