
Case #337 – December, 2012
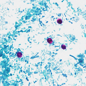
A five-year-old boy developed loose, watery stools approximately one week after attending a birthday party for a friend. The parents took the child to their health care provider for medical attention. The parents told the physician that at the party, the child played in splash pads. A stool specimen was collected in 10% formalin and submitted for laboratory testing. A formalin-ethyl acetate concentration was performed and a wet mount of the sediment was examined for ova and parasites. Objects shown in Figures A and B, measuring 5-6 micrometers on average, were observed in moderate numbers at 1000x magnification. The laboratory recommended to the attending physician that a modified acid-fast stain be done. It was ordered and Figure C shows what was observed. What is your diagnosis? Based on what criteria? What further testing, if any, would you recommend?

Figure A

Figure B

Figure C
Images presented in the DPDx case studies are from specimens submitted for diagnosis or archiving. On rare occasions, clinical histories given may be partly fictitious.
DPDx is an educational resource designed for health professionals and laboratory scientists. For an overview including prevention, control, and treatment visit www.cdc.gov/parasites/.