
Case #333 – October, 2012
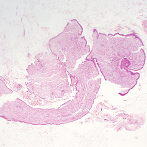
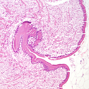
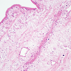
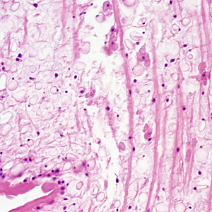
A 68-year-old woman underwent a routine screening mammogram, which revealed calcifications in the right breast. Biopsy specimens were collected and sent to Pathology for histological work-up. Figures A–D show what was observed at 20x, 100x, 200x, and 400x magnification respectively by the attending pathologist on one of the slides stained with hematoxylin and eosin (H&E). What is your diagnosis? Based on what criteria?

Figure A

Figure B

Figure C

Figure D
This case and images were kindly provided by the Mayo Clinic, Rochester, MN.
Images presented in the DPDx case studies are from specimens submitted for diagnosis or archiving. On rare occasions, clinical histories given may be partly fictitious.
DPDx is an educational resource designed for health professionals and laboratory scientists. For an overview including prevention, control, and treatment visit www.cdc.gov/parasites/.