
Case #272 – March, 2010
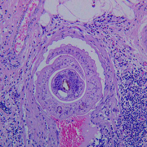
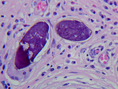
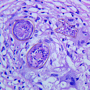
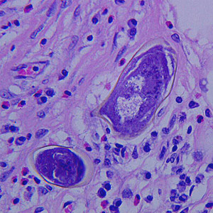
A 35-year-old male from the United Arab Emirates was hospitalized with complaints of upper and lower abdominal pain. Sections of the greater omentum and appendix were biopsied and sent to a pathology laboratory for sectioning and staining. Figures A–D show what was observed by the attending pathologist in sections of the greater omentum, stained with hematoxylin and eosin (H&E). What is your diagnosis? Based on what criteria? What other testing, if any, would you recommend?

Figure A

Figure B

Figure C

Figure D
This case and images were kindly provided by Dr. Munaf Desai, Al Qassimi Hospital, Shatjah, UAE.
Images presented in the DPDx case studies are from specimens submitted for diagnosis or archiving. On rare occasions, clinical histories given may be partly fictitious.
DPDx is an educational resource designed for health professionals and laboratory scientists. For an overview including prevention, control, and treatment visit www.cdc.gov/parasites/.