
Case #264 November, 2009
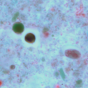
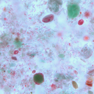
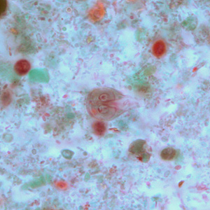
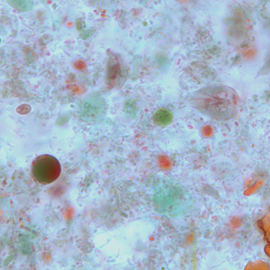
A five-year-old child went to a local clinic with complaints of abdominal cramping, excessive gas, diarrhea, and weight loss. Stool specimens were collected in formalin and polyvinyl alcohol (PVA) and sent to the local public health laboratory for routine ova-and-parasite (O&P) examination. Figures A–D show what was observed on a trichrome-stained slide prepared from stool preserved in PVA. All images were taken at 1000x magnification. What is your diagnosis? Based on what criteria?

Figure A

Figure B

Figure C

Figure D
Images presented in the DPDx case studies are from specimens submitted for diagnosis or archiving. On rare occasions, clinical histories given may be partly fictitious.
DPDx is an educational resource designed for health professionals and laboratory scientists. For an overview including prevention, control, and treatment visit www.cdc.gov/parasites/.