
Case #257 – August, 2009
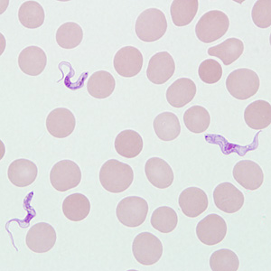
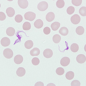
A 43-year-old man from Brazil traveled to Angola and other African countries for business for two weeks. Approximately one week after returning to Brazil, he noticed a small ulcerative lesion on his neck. He recalled being bitten by insects at the site of the lesion, but could not remember if the bites took place in Africa or South America. Two months later, he began to experience fever, headache, and fatigue and sought medical attention. His doctor also noticed that he had swollen lymph nodes. Blood was collected in EDTA for routine work-up. Figures A and B show what was observed at 1000x magnification on a Giemsa-stained smear made from the EDTA blood. What is your diagnosis? Based on what criteria?

Figure A

Figure B
Images presented in the DPDx case studies are from specimens submitted for diagnosis or archiving. On rare occasions, clinical histories given may be partly fictitious.
DPDx is an educational resource designed for health professionals and laboratory scientists. For an overview including prevention, control, and treatment visit www.cdc.gov/parasites/.