
Case #254 – June, 2009
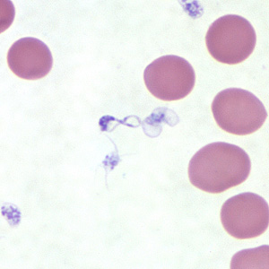
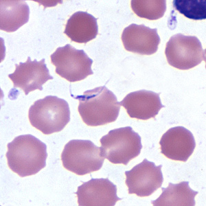
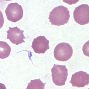
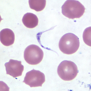
A 37-year-old man traveled to Senegal and The Republic of Gambia for two months. Upon his return, he went to his health care provider with complaints of fatigue, headache and fever. He also stated that he remembered being bitten on several occasions by insects. Laboratory testing included a blood smear stained with Wright-Giemsa. Figures A–D show what was observed on the smear at 1000x magnification. What is your diagnosis? Based on what criteria?

Figure A

Figure B

Figure C

Figure D
Images presented in the DPDx case studies are from specimens submitted for diagnosis or archiving. On rare occasions, clinical histories given may be partly fictitious.
DPDx is an educational resource designed for health professionals and laboratory scientists. For an overview including prevention, control, and treatment visit www.cdc.gov/parasites/.