
Case #248 – March, 2009
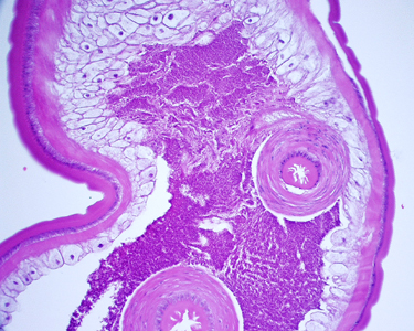
A 36-year-old immigrant from Mozambique presented to his health care provider with heartburn and chronic right abdominal pain. All previous ova and parasite (O&P) examinations were negative. An endoscopy was performed, upon which a worm-like object was observed in the ascending colon near the ileocecum. The suspicious object, measuring approximately 7 mm in length, was removed, collected in 10% formalin, and sent to Pathology for work-up. The object was sectioned, stained with hematoxylin and eosin (H&E) and reviewed by the attending pathologist, who in turn captured the following images and sent them to DPDx for telediagnosis assistance. What is your diagnosis? Based on what criteria?

Figure A

Figure B

Figure C

Figure D

Figure E
Images presented in the DPDx case studies are from specimens submitted for diagnosis or archiving. On rare occasions, clinical histories given may be partly fictitious.
This case and images were kindly provided by the Department of Pathology, Cambridge Health Alliance in Cambridge, MA.
DPDx is an educational resource designed for health professionals and laboratory scientists. For an overview including prevention, control, and treatment visit www.cdc.gov/parasites/.



