
Case #245 – February, 2009
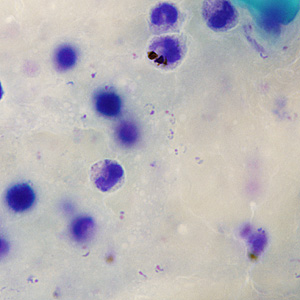
A 64-year-old man returned from a trip to Africa with fever and chills. He went to a local hospital for medical assistance. A blood specimen was collected and sent to Hematology for work-up, including Parasitology. Only a thick blood smear stained with Giemsa was available to be reviewed by the pathologist. Figures A–C represents what was observed in 300 fields at 1000x magnification. What is your diagnosis? Based on what criteria? What, if any, follow-up would you recommend?

Figure A

Figure B

Figure C
Images presented in the DPDx case studies are from specimens submitted for diagnosis or archiving. On rare occasions, clinical histories given may be partly fictitious.
DPDx is an educational resource designed for health professionals and laboratory scientists. For an overview including prevention, control, and treatment visit www.cdc.gov/parasites/.