
Case #238 – October, 2008
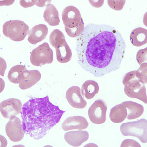
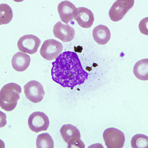
A 45-year-old man from Kenya who was visiting relatives in the New England area had complaints of fever and headache. He was taken to a nearby hospital for medical evaluation. A Giemsa-stained thin blood smear was prepared and examined at 1000x magnification. Figures A and B show what was observed in low numbers on the smear. What is your diagnosis? Based on what criteria? What, if any, other tests should be performed?

Figure A

Figure B
Images presented in the DPDx case studies are from specimens submitted for diagnosis or archiving. On rare occasions, clinical histories given may be partly fictitious.
DPDx is an educational resource designed for health professionals and laboratory scientists. For an overview including prevention, control, and treatment visit www.cdc.gov/parasites/.