
Case #234 – August, 2008
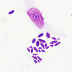
A 29 year-old man with travel history to Costa Rica, Belize, and Nicaragua developed an ulcerative lesion on his right foot. The lesion did not respond to over-the-counter medications so the patient went to his health care provider. He was referred to an infectious disease specialist due to his travel history. A biopsy was performed near the edge of the lesion and the tissue specimen was sent to a reference laboratory for testing. The tissue specimen was divided into two parts, one of which was used to inoculate a NNN slant for culture. The other part was used to prepare a touch-prep smear, which in turn was fixed with methanol and then stained with Giemsa. Figures A and B show what was observed on that smear. What is your diagnosis? Based on what criteria?

Figure A

Figure B
Images presented in the DPDx case studies are from specimens submitted for diagnosis or archiving. On rare occasions, clinical histories given may be partly fictitious.
DPDx is an educational resource designed for health professionals and laboratory scientists. For an overview including prevention, control, and treatment visit www.cdc.gov/parasites/.