
Case #229 – June, 2008
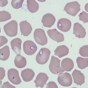
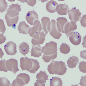
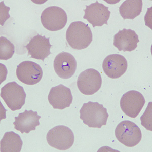
Wright-Giemsa stained blood smears and EDTA blood were sent for confirmatory diagnosis to the CDC from a Public Health Laboratory. The specimens were from a 46-year-old woman, but no travel history was available. Image A was captured from a stained thick smear; images B, C, and D were captured from a stained thin smear. All images were taken at 1000x magnification. What is your diagnosis? Based on what criteria? What other testing, if any, would you recommend?

Figure A

Figure B

Figure C

Figure D
Images presented in the DPDx case studies are from specimens submitted for diagnosis or archiving. On rare occasions, clinical histories given may be partly fictitious.
DPDx is an educational resource designed for health professionals and laboratory scientists. For an overview including prevention, control, and treatment visit www.cdc.gov/parasites/.