
Case #215 – November, 2007

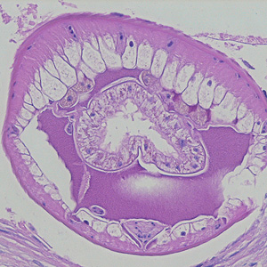
Figure A

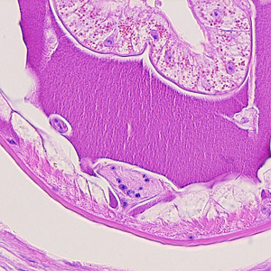
Figure B

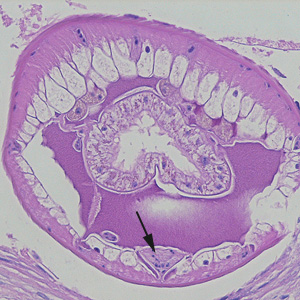
Figure C

Figure D
This case was kindly contributed by the Laboratory of Parasitology, National Public Health Research Center in Vilnius, Lithuania.
Images presented in the DPDx case studies are from specimens submitted for diagnosis or archiving. On rare occasions, clinical histories given may be partly fictitious.
DPDx is an educational resource designed for health professionals and laboratory scientists. For an overview including prevention, control, and treatment visit www.cdc.gov/parasites/.
