
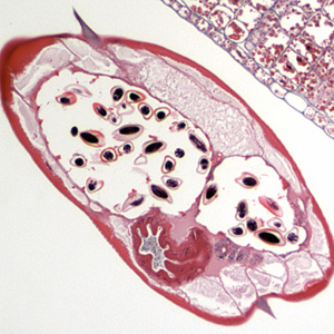
Case #213 – October, 2007
A 49-year-old man, with no known travel history, had a colonoscopy. His physician observed small worms during the procedure that were 3 to 4 mm in length. The worms were submitted to a pathology laboratory for sectioning and staining. Figures A-C were captured from hematoxylin and eosin (H & E) stained sections; A was taken at 100× magnification and B and C were taken at 200× magnification. Images were sent to DPDx for diagnostic assistance along with a presumed diagnosis based on the size and morphologic features. The DPDx Team requested more information on the size of the oval structures (Figure C, blue arrows) and were told that they were approximately 50-55 micrometers in length. What is your diagnosis? Based on what criteria?

Figure A

Figure B

Figure C
This case was kindly contributed by Dr. R Worthington at Sheboygan Memorial Hospital.
Images presented in the DPDx case studies are from specimens submitted for diagnosis or archiving. On rare occasions, clinical histories given may be partly fictitious.
DPDx is an educational resource designed for health professionals and laboratory scientists. For an overview including prevention, control, and treatment visit www.cdc.gov/parasites/.