
Case #206 – June, 2007
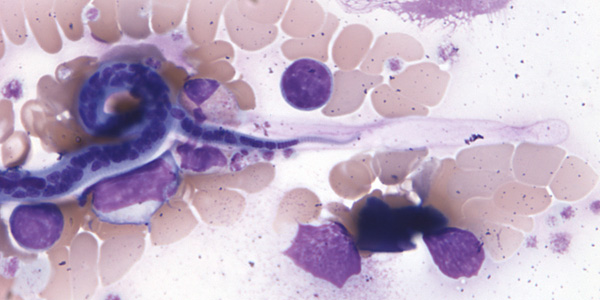
An immigrant from West Africa arrived in the United States after living in Liberia and Sierra Leone. The individual was admitted to a medical center with shortness of breath and pulmonary tuberculosis was suspected. An x-ray was ordered, an acid-fast bacillus (AFB) smear was made, and blood was collected to determine platelet counts and hemoglobin level. A Wright-Giemsa stained blood smear was made and reviewed; the objects seen on the thin smear were approximately 250 µm (based on the relative size of the white blood cells). Figures A and B show the same organism, captured from the thin smear at 250× and 1000× magnification respectively. Figures C and D were both taken at 1000× magnification. What is your diagnosis? Based on what criteria?

Image A

Figure B

Figure C

Figure D
This case and images were kindly contributed by The Hennepin County Medical Center.
Images presented in the DPDx case studies are from specimens submitted for diagnosis or archiving. On rare occasions, clinical histories given may be partly fictitious.
DPDx is an educational resource designed for health professionals and laboratory scientists. For an overview including prevention, control, and treatment visit www.cdc.gov/parasites/.