
Case #203 – May, 2007
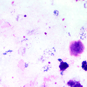
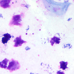
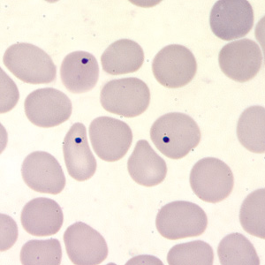
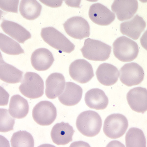
Giemsa-stained thick and thin blood smears were examined as part of a screening protocol for refugees from a country that has areas of ongoing malaria transmission. Figures A and B were captured from the thick smear; Figures C and D were captured from the thin smear. What is your diagnosis? Based on what criteria?

Figure A

Figure B

Figure C

Figure D
Images presented in the DPDx case studies are from specimens submitted for diagnosis or archiving. On rare occasions, clinical histories given may be partly fictitious.
DPDx is an educational resource designed for health professionals and laboratory scientists. For an overview including prevention, control, and treatment visit www.cdc.gov/parasites/.