
Case #181 – June, 2006
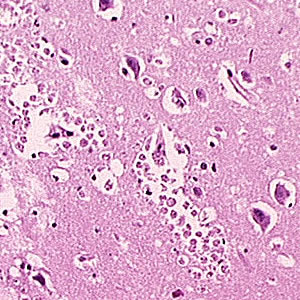
A patient was admitted to a hospital with a one-day history of fever and persistent headache on the right side. Approximately 10 days prior to the onset of symptoms, the individual swam in a small swimming hole, associated with a river. Two days after admission the patient developed a stiff neck, becoming progressively sleepy. The patient became lethargic and unresponsive to pain stimulation, and treatment with acyclovir and manitol was started. A computed tomography (CT) was performed and showed a lesion in the right frontal lobe and diffuse cerebral edema. The patient was pronounced dead 6 days after the onset of symptoms. Figures A and B are from hematoxylin and eosin (H & E) stained brain tissue specimens sent to CDC for confirmatory diagnosis. Objects shown Figure B ranged from 10 to 12 µm in diameter. What is your diagnosis? Based on what criteria? Which additional diagnostic test would you recommend to achieve a final diagnosis?

Figure A

Figure B
This case was kindly contributed by the San Diego County Health and Human Services.
Images presented in the DPDx case studies are from specimens submitted for diagnosis or archiving. On rare occasions, clinical histories given may be partly fictitious.
DPDx is an educational resource designed for health professionals and laboratory scientists. For an overview including prevention, control, and treatment visit www.cdc.gov/parasites/.
