
Case #175 – March, 2006
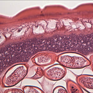
An elderly patient underwent a colonoscopy for polyps. A worm was seen near the appendiceal orifice and a biopsy was taken, fixed in formalin, and sent to histology. The sections were stained with hematoxylin and eosin (H & E). Figures A-C show what was observed on the slides at 100×, 400×, and 1000× magnification respectively. Objects such as the one shown in Figure C measured approximately 50 µm in length. What is your identification of this incidental finding? Based on what criteria?

Figure A

Figure B

Figure C
This case was kindly contributed by the Oregon Public Health Laboratory.
Images presented in the DPDx case studies are from specimens submitted for diagnosis or archiving. On rare occasions, clinical histories given may be partly fictitious.
DPDx is an educational resource designed for health professionals and laboratory scientists. For an overview including prevention, control, and treatment visit www.cdc.gov/parasites/.