
Case #174 – February, 2006
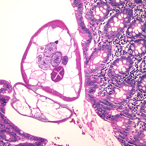
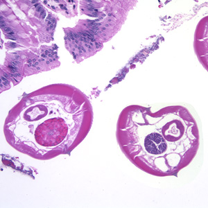
A teenager underwent surgery for a traumatic injury to his abdominal cavity. Apart from the injury, the surgeon noticed some necrosis around the youth’s appendix. A biopsy of that area was obtained and sent to the pathology department. Figures A-D show what was observed on one of the hematoxylin and eosin (H & E) stained slides of tissue section. Figures A, B and D were taken at 200×, and Figure C was taken at 400× magnification, respectively. What is your identification of this additional finding? Based on what criteria?

Figure A

Figure B

Figure C

Figure D
This case was kindly contributed by the South Carolina Department of Health and Environmental Control, Bureau of Laboratories.
Images presented in the DPDx case studies are from specimens submitted for diagnosis or archiving. On rare occasions, clinical histories given may be partly fictitious.
DPDx is an educational resource designed for health professionals and laboratory scientists. For an overview including prevention, control, and treatment visit www.cdc.gov/parasites/.

