
Case #163 – September, 2005
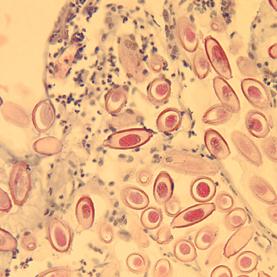
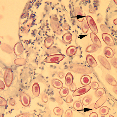
A 45-year-old man was admitted to a local emergency room in a comatose state after apparently having a heart attack. The man never regained consciousness and expired the next day. His patient history, gathered from his wife, included high blood pressure and high cholesterol levels as well as complaints of abdominal pain, intermittent diarrhea, noticeable weight loss, frequent headaches, and occasional shortness of breath for the past 5 months. His wife stated that he had been working abroad for one year in the Philippines and had just returned home for a one-week visit. An autopsy was performed to determine the cause of death. Figure A shows an image captured from a hematoxylin and eosin (H & E) stained slide of a section of intestinal tissue. Although not the cause of the man’s death, what is your diagnosis of this incidental finding? Based on what criteria?

Figure A
Images presented in the DPDx case studies are from specimens submitted for diagnosis or archiving. On rare occasions, clinical histories given may be partly fictitious.
DPDx is an educational resource designed for health professionals and laboratory scientists. For an overview including prevention, control, and treatment visit www.cdc.gov/parasites/.
